impianti DENTALI in titanio nello studio dentistico a Napoli

Gli impianti dentali di ultima generazione
La dottoressa Paola Daniela Lombardi, esperta in impianti dentali, utilizza impianti osteointegrati certificati e garantiti. Per impianto si intende l'inserimento all'interno dell'osso mascellare o mandibolare di una o più viti che sostituiscono gli elementi dentari persi, sui quali si possono realizzare sia protesi fisse che protesi mobili.
Prenota online un appuntamento con la Dottoressa Lombardi, specialista del sorriso.
Gli impianti dentali
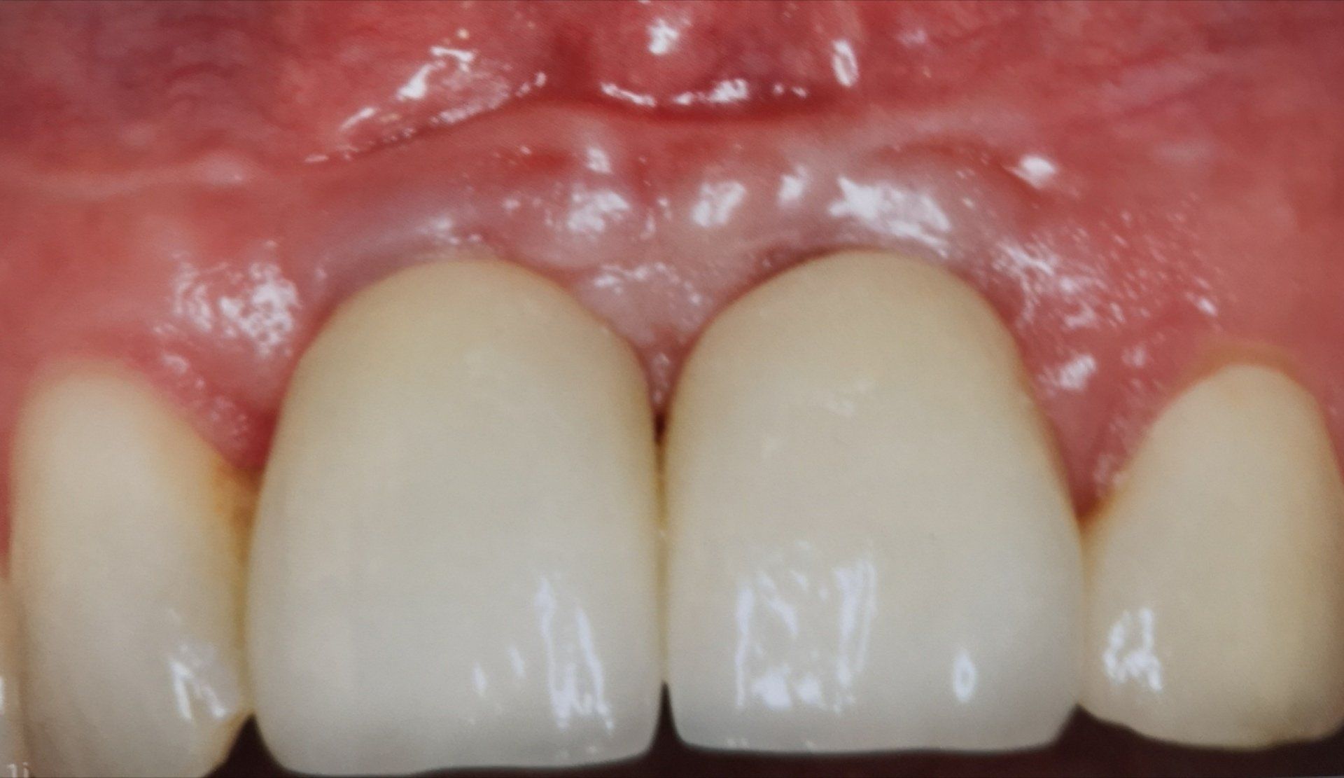
Gli impianti dentali rappresentano una delle soluzioni più avanzate ed efficaci per sostituire denti mancanti, restituendo la funzionalità masticatoria e l’estetica del sorriso.
La struttura in titanio degli impianti si integra perfettamente con l’osso dei mascellari offrendo stabilità e resistenza.
I vantaggi degli impianti dentali
I Vantaggi degli impianti dentali sono:
- sostituzione stabile e duratura,
- estetica naturale,
- funzionalità masticatoria ottimale,
- prevenzione della perdita ossea,
- confort e sicurezza.
Come viene inserito l'impianto
Il processo di inserimento degli impianti consiste : in una consultazione iniziale in cui si procede alla visita per valutare la salute orale e pianificare il piano terapeutico, in un secondo momento si procede all’inserimento dell’impianto in titanio nell’osso mascellare o mandibolare tramite intervento chirurgico; dopodiché segue la fase di guarigione e integrazione ossea (l’impianto in genere si osteointegra in alcuni mesi).
Una volta avvenuta l’osteointegrazione si procede alla preparazione ed alla posa della protesi sull’impianto restituendo funzionalità ed estetica. Gli impianti sono una soluzione adatta per chi ha perso uno o più denti, purché abbia una buona salute generale e sufficiente osso per supportare l’impianto, in alcuni casi è necessario un trattamento preparatorio consistente in un rialzo del seno mascellare o innesto osseo per rendere possibile l’inserimento degli impianti.
In conclusione, gli impianti dentali rappresentano una scelta sicura, duratura ed esteticamente naturale. Oggi grazie alla tecnologia avanzata ed alle nuove tecniche chirurgiche utilizzate dalla dottoressa Lombardi Paola Daniela l’intervento è più rapido, meno invasivo e meno doloroso.
Contatta lo studio della dott.ssa Paola Daniela Lombardi di Napoli per una consulenza personalizzata.
FAQs
Hai domande sul nostro studio? Trova le risposte qui di seguito.
Hai ancora delle domande?
Contatta lo studio dentistico della dottoressa Paola Daniela Lombardi.
Che cosa sono esattamente gli impianti dentali e come funzionano?
Gli impianti dentali sono dispositivi in titanio biocompatibile che vengono inseriti chirurgicamente nell’osso mascellare o mandibolare per sostituire le radici dei denti mancanti. Una volta inserito, l’impianto si integra con l’osso attraverso un processo biologico chiamato osteointegrazione, che garantisce stabilità e durata nel tempo.
Su di esso viene poi applicata una protesi dentaria fissa o mobile, che ripristina la piena funzionalità masticatoria e un’estetica naturale, indistinguibile dai denti naturali.
Chi può sottoporsi a un trattamento con impianti dentali?
La maggior parte dei pazienti può ricevere un impianto dentale, purché abbia una buona salute generale e un adeguato volume osseo. In caso di osso insufficiente, è possibile ricorrere a interventi preparatori come innesti ossei o rialzo del seno mascellare per ricreare la base necessaria all’inserimento dell’impianto.
Durante la visita preliminare, la Dott.ssa Lombardi effettua una valutazione approfondita tramite esami clinici e radiografici per stabilire il piano terapeutico più adatto.
Quanto dura un impianto dentale e come va mantenuto nel tempo?
Un impianto dentale ben integrato e correttamente curato può durare decenni, spesso anche per tutta la vita. La longevità dipende da vari fattori: igiene orale quotidiana accurata, visite periodiche di controllo e assenza di abitudini nocive come il fumo.
La Dott.ssa Lombardi consiglia sedute di igiene professionale regolari e controlli annuali per monitorare la stabilità dell’impianto e lo stato di salute dei tessuti gengivali.
L’intervento per inserire un impianto è doloroso e/o invasivo?
Grazie alle moderne tecniche chirurgiche mininvasive e all’utilizzo di anestesia locale, l’intervento è praticamente indolore. Il fastidio post-operatorio è minimo e facilmente gestibile con una terapia antinfiammatoria.
La tecnologia digitale utilizzata nello studio della Dott.ssa Lombardi permette una pianificazione precisa dell’intervento, riducendo i tempi chirurgici e favorendo una guarigione più rapida.
Quali sono i vantaggi degli impianti dentali rispetto alle protesi tradizionali?
Gli impianti dentali offrono numerosi vantaggi rispetto alle soluzioni rimovibili o ai ponti su denti naturali:
- Stabilità e comfort superiori, senza rischio di movimenti durante la masticazione;
- Estetica naturale, perfettamente integrata con il resto del sorriso;
- Conservazione dell’osso, poiché l’impianto stimola il tessuto osseo prevenendone la perdita;
- Assenza di limature dei denti adiacenti, preservando la struttura dentale naturale;
- Durata nel tempo, con una manutenzione minima e risultati eccellenti.
Vuoi prenotare un appuntamento per le protesi dentarie?
Prenota online un appuntamento

































