Protesi dentali fisse e mobili nello studio dentistico a Napoli

Protesi dentali fisse e mobili
Le protesi dentali sono soluzioni su misura per ripristinare i denti mancanti e migliorare l’estetica, la funzione, ed il benessere orale. Possono essere fisse o mobili, parziali o totali e permettono di tornare a sorridere e masticare con sicurezza e serenità. Ogni protesi viene progettata per adattarsi perfettamente alle esigenze del paziente garantendo risultati naturali.
La dottoressa Lombardi, titolare dello studio dentistico di Napoli, realizza protesi fisse anche su denti naturali e riesce a utilizzare, dopo opportuno trattamento, anche radici dentarie utili come pilastri per il sostegno del ponte fisso.
Prenota online un appuntamento con la Dottoressa Lombardi, specialista del sorriso.
Le protesi dentarie fisse
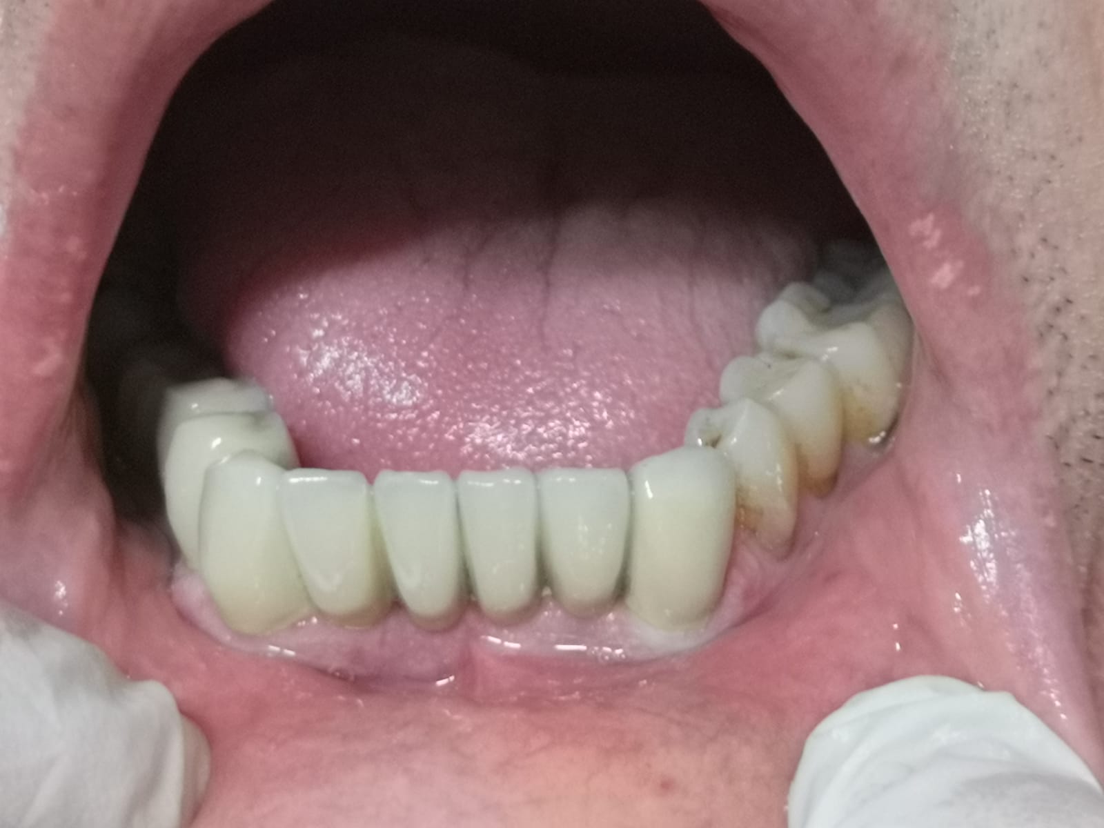
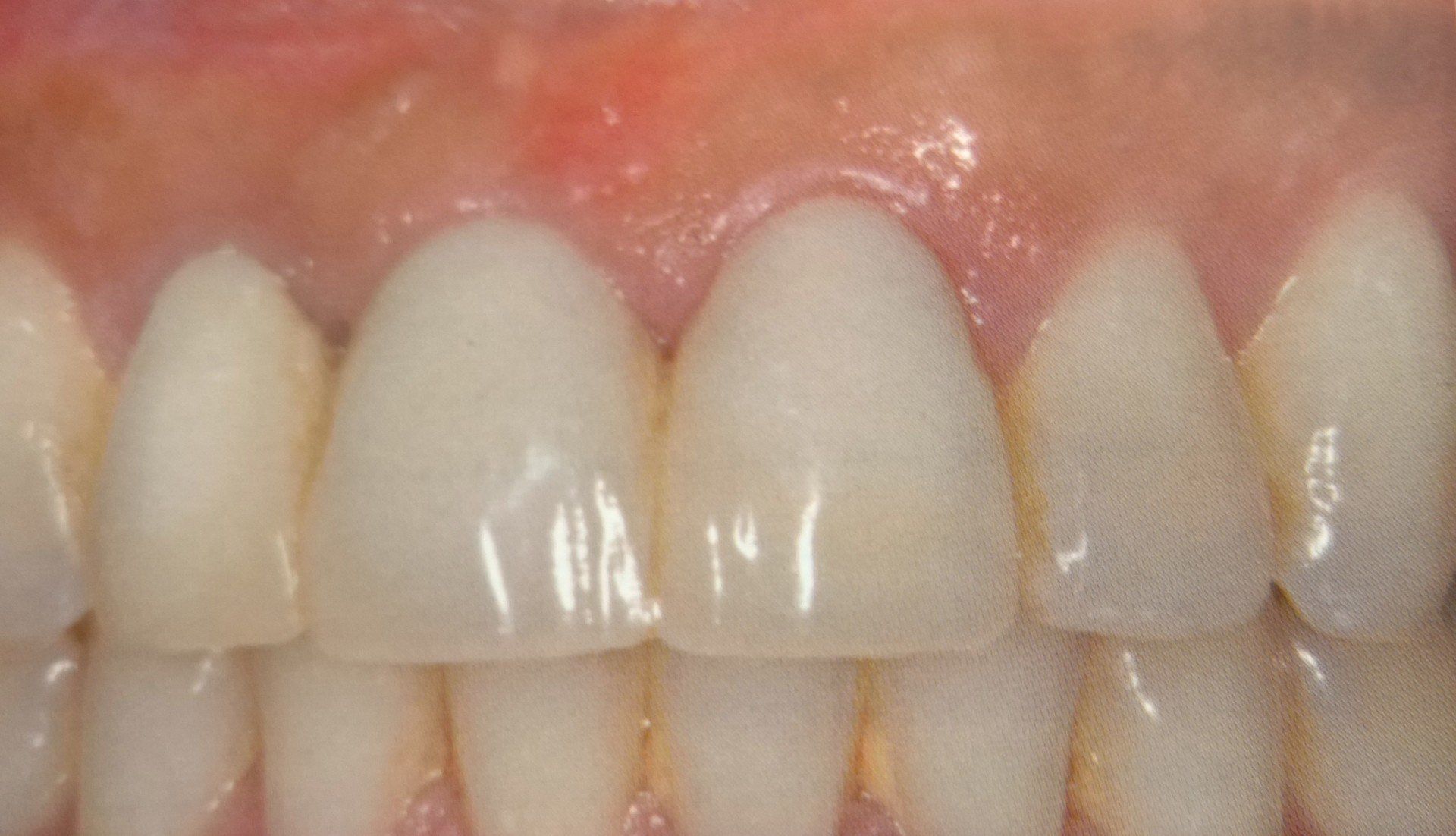
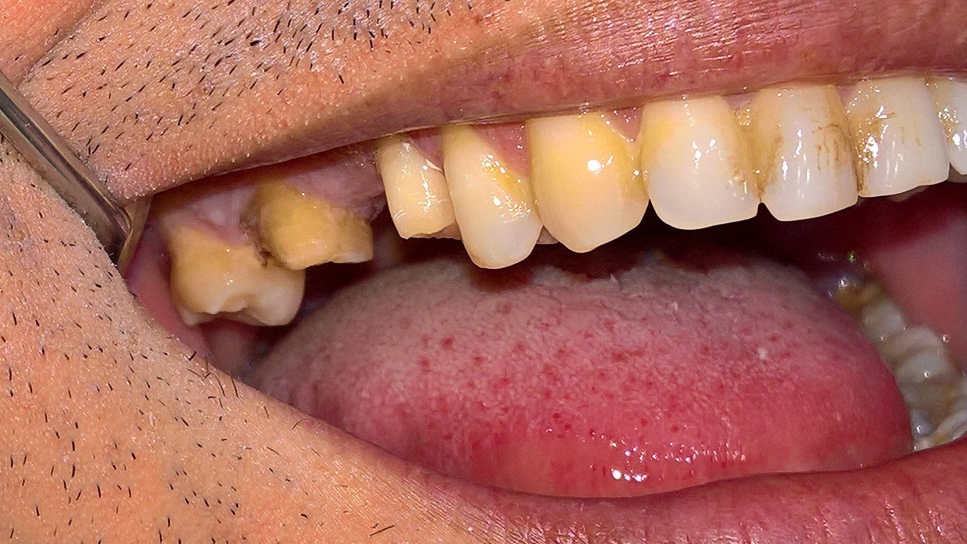
La protesi dentale fissa è una soluzione protesica pensata per sostituire uno o più denti mancanti, restituendo la piena funzionalità masticatoria ed un’estetica simile a quella dei denti naturali. La protesi fissa viene ancorata saldamente ai denti naturali residui o ad impianti dentali garantendo una stabilità che consente di parlare, mangiare e sorridere con sicurezza.
Le protesi dentali fisse garantiscono un’estetica naturale; una durata nel tempo se si rispetta una buona igiene orale e ci si sottopone a controlli regolari; miglioramento della funzionalità masticatoria; salvaguardia della salute orale impedendo lo spostamento di denti adiacenti e la perdita di struttura ossea. La protesi fissa è indicata sui denti gravemente compromessi, per la sostituzione di denti mancanti singoli o multipli o per esigenze estetiche ( cambio del colore, della forma e della posizione) ed inoltre indicata nella riabilitazione su impianti. La protesi fissa può essere realizzata con vari materiali come: lega ceramica, oro ceramica, zirconia, ceramica integrale.
Grazie alle tecnologie CAD/CAM e scanner intraorali possiamo progettare protesi con massima precisione.
Prenota una visita se desideri migliorare il tuo sorriso e ritrovare la sicurezza masticatoria, saremo lieti di guidarti nella scelta della protesi dentale fissa più adatta a te.
Le protesi dentarie mobili
La protesi mobile è una soluzione pratica ed economica per sostituire uno o più denti mancanti. Realizzata su misura, può essere parziale quando sostituisce solo alcuni denti o totale quando sostituisce un’intera arcata.
Facile da rimuovere per la pulizia quotidiana, la protesi mobile permette di recuperare funzionalità masticatoria ed estetica migliorando la qualità della vita. Le protesi mobili possono essere in: resina, acrilico o scheletrati.
La protesi mobile è ideale per chi non può ricorrere a soluzioni fisse e rappresenta una valida alternativa per tornare a sorridere con sicurezza.
Recati nello studio dentistico della Dott.ssa Lombardi per ricevere una consulenza odontoiatrica adeguata.
Le impronte dentali digitali
L'impronta dentaria digitale è una procedura altamente tecnologica, alternativa agli scomodi cucchiai per impronta convenzionale, serve a creare un modello preciso delle arcate dentarie utile per realizzare protesi dentarie , corone singole, faccette, intarsi, allineatori ortodontici.
Un software utilizza uno scanner ottico per la scansione intra orale di denti e gengive, in pochi istanti si crea un modello digitale preciso che viene inviato istantaneamente e in modo criptato al laboratorio per la realizzazione dei manufatti protesici o ortodontici.
La procedura digitale è rapida, sicura e più confortevole per il paziente rispetto a quella tradizionale analogica; riduce gli errori e fornisce risultati estremamente precisi.
FAQs
Hai domande sul nostro studio? Trova le risposte qui di seguito.
Hai ancora delle domande?
Contatta lo studio dentistico della dottoressa Paola Daniela Lombardi.
Qual è la differenza tra una protesi dentale fissa e una mobile?
La protesi dentale fissa è ancorata in modo permanente ai denti naturali o agli impianti dentali e non può essere rimossa dal paziente. È una soluzione ideale per chi desidera una riabilitazione stabile, duratura e dall’estetica naturale.
La protesi mobile, invece, può essere rimossa facilmente per la pulizia e la manutenzione. Può essere totale (quando sostituisce un’intera arcata) o parziale (quando rimpiazza solo alcuni denti). È indicata per pazienti che non possono sottoporsi a interventi implantari o preferiscono una soluzione più economica e flessibile.
Quanto durano le protesi dentali e come vanno mantenute nel tempo?
La durata di una protesi dentale dipende dal tipo, dai materiali utilizzati e dalle abitudini del paziente.
- Le protesi fisse, realizzate in ceramica integrale, zirconia o metallo-ceramica, possono durare oltre 10-15 anni con un’adeguata igiene orale e controlli periodici.
- Le protesi mobili richiedono invece una manutenzione più regolare e possono necessitare di piccole regolazioni nel tempo per adattarsi ai cambiamenti naturali della bocca.
È fondamentale eseguire visite di controllo e igiene professionale almeno una volta all’anno per preservare la funzionalità e l’estetica della protesi.
Come si realizza una protesi dentale con la tecnologia digitale?
Nel nostro studio utilizziamo la moderna impronta dentaria digitale, che sostituisce i tradizionali cucchiai con paste modellanti.
Tramite uno scanner intraorale, viene acquisita una mappa tridimensionale estremamente precisa delle arcate dentarie e dei tessuti gengivali. Questo modello digitale viene poi inviato al laboratorio odontotecnico per la realizzazione della protesi con tecnologie CAD/CAM (Computer-Aided Design / Computer-Aided Manufacturing).
I vantaggi sono molteplici:
• massima precisione e comfort per il paziente;
• riduzione dei tempi di realizzazione;
• adattamento perfetto e risultati estetici di alta qualità.
Quali materiali vengono utilizzati per le protesi dentali e come scegliere il più adatto?
Le protesi dentali possono essere realizzate con diversi materiali, ognuno con caratteristiche e vantaggi specifici:
• Ceramica integrale o zirconia: garantiscono un’estetica eccellente e grande resistenza, ideali per le zone visibili del sorriso;
• Metallo-ceramica o lega-ceramica: combinano robustezza e bellezza naturale, perfette per arcate posteriori;
• Resina o acrilico (per protesi mobili): leggere, economiche e facilmente adattabili.
La Dott.ssa Lombardi valuta sempre le esigenze funzionali, estetiche ed economiche del paziente, proponendo la soluzione più equilibrata e personalizzata.
Vuoi prenotare un appuntamento per le protesi dentarie?
Prenota online un appuntamento









































